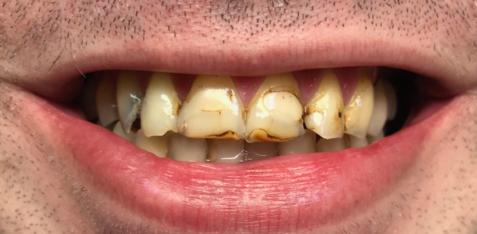
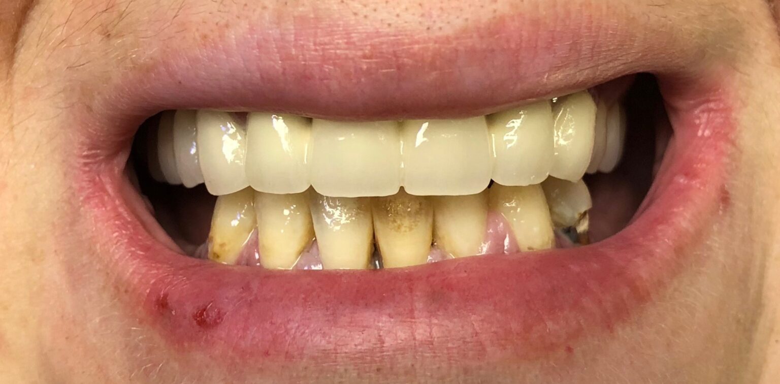
La facette dentaire est une fine pellicule de céramique, collée à la surface de la dent, véritable émail de substitution.
Elle présente des propriétés optiques (transmission de la lumière et blancheur), mécaniques et biologiques très proches de la dent naturelle.
Ainsi, les facettes permettent de modifier définitivement et esthétiquement : – la forme – la teinte – Les malpositions – Les anomalies des dents
En reconstruisant et en sublimant le sourire du patient. Cette approche thérapeutique est très peu invasive et réalisée dans le respect de la dent qui est très souvent gardée vivante.
Si les conditions sont favorables, il est même possible de coller les facettes sur les dents sans aucune préparation de celles-ci.