Avoir un beau sourire peut faire toute la différence. Cependant, cela nécessite de prendre soin de ses dents, ce qui inclut de visiter régulièrement un dentiste endodontie.
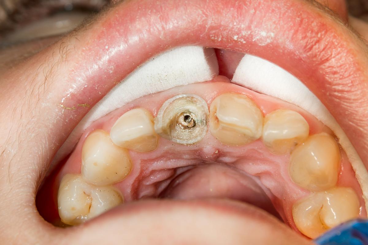
L’endodontie est une branche de la dentisterie qui se concentre sur les traitements de canal. Cela implique de traiter les problèmes à l’intérieur de la dent, tels que les infections et les inflammations. Les traitements de canal sont nécessaires lorsque la pulpe dentaire, la partie de la dent qui contient les nerfs et les vaisseaux sanguins, est endommagée ou infectée.
Les traitements de canal sont importants pour éviter des problèmes plus graves tels que des abcès dentaires et la perte de dents. Si une infection n’est pas traitée, elle peut se propager aux tissus environnants et même à d’autres parties du corps. Cela peut entraîner une douleur intense, une enflure et une fièvre. En fin de compte, cela peut causer la perte de la dent infectée.
Lorsque vous visitez un dentiste spécialisé en endodontie, il effectuera un examen de votre bouche pour déterminer si un traitement de canal est nécessaire. S’il y a un problème, le dentiste vous expliquera le processus de traitement et répondra à toutes vos questions. Le traitement de canal peut être effectué en une ou plusieurs visites, en fonction de la complexité de la situation




Prendre soin de ses dents est crucial pour avoir un sourire sain et beau. En visitant régulièrement un dentiste endodontie, vous pouvez éviter des problèmes dentaires graves tels que les infections et la perte de dents. Si vous pensez que vous pourriez avoir besoin d’un traitement de canal, n’hésitez pas à contacter un dentiste spécialiste en endodontie pour obtenir de l’aide.
Si vous désirez prendre rendez-vous avec un dentiste spécialiste en parodontologie, cliquez ici.
46 rue Fernand Lecroart
59960 Neuville en Ferrain
Autoroute A22/E17 direction Tourcoing/Gand/ Gent
Sortie 17 vers Neuville en Ferrain
Metro 2. Direction C.H. Dron.
Arret C.H. Dron.
Bus CITT. Direction Centre commercial Tourcoing.
Arret Centre (Neuville en Ferrain)
03 20 35 37 94