Dentistes.fr

Kyste maxillaire : Traitement, chirurgie et récupération

Tout le monde connaît les craintes liées à la chirurgie et c’est encore plus vrai lorsqu’il s’agit d’un kyste maxillaire. Que ce soit pour des raisons esthétiques ou pour leur potentiel de risque, le kyste maxillaire nécessite une intervention chirurgicale spécifique. Malheureusement, beaucoup de gens ignorent les nuances et les dangers qu’il représente. Cet article aidera à éclaircir certains points, du diagnostic initial jusqu’à la guérison post-opératoire.

Qu'est-ce qu'un kyste maxillaire ?

Un kyste maxillaire est une lésion bénigne qui se développe dans la mâchoire et qui peut causer des dommages à l’os et aux tissus environnants. Les kystes maxillaires sont généralement causés par une accumulation de liquide ou de tissu autour d’une dent, ce qui provoque une destruction progressive de l’os.

Les différents types de kystes maxillaires

Il existe plusieurs types de kystes maxillaires, notamment les kystes odontogéniques, les kystes radiculaires, les kystes folliculaires et les kystes mucoïdes. Chacun de ces types de kystes présente des symptômes et des causes différents.

Les symptômes et les causes

Les symptômes communs des kystes maxillaires comprennent une douleur faciale, un gonflement ou une sensibilité au toucher, ainsi que des difficultés à mâcher ou à avaler. Les causes possibles incluent une infection dentaire non traitée, une carie dentaire profonde ou un traumatisme buccal.

Comment diagnostiquer un kyste maxillaire ?

Le diagnostic d’un kyste maxillaire nécessite un examen clinique approfondi et des tests radiographiques pour confirmer le diagnostic. Le médecin peut également effectuer des tests de laboratoire pour rechercher des signes d’infection.

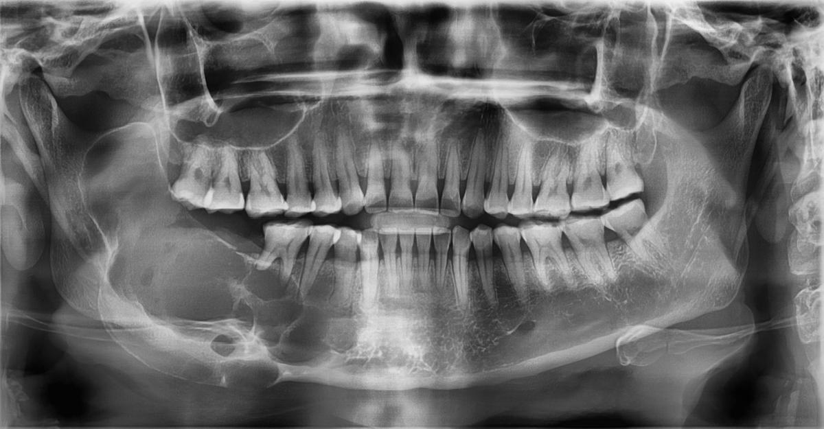
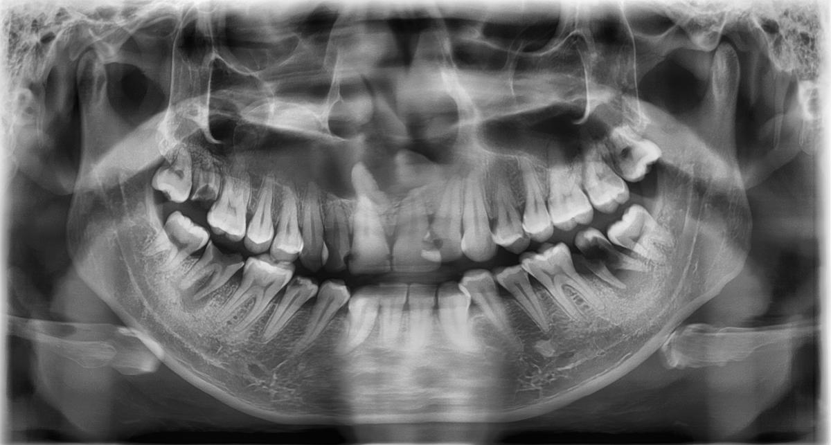
L'examen clinique et radiographique

Lors de l’examen clinique, le médecin examinera attentivement la zone affectée pour déterminer si elle est enflée ou sensible au toucher. Il peut également prescrire une radiographie panoramique pour obtenir une vue complète du crâne et de la mâchoire afin de confirmer le diagnostic.

Les tests de laboratoire

Le médecin peut également effectuer des tests sanguins pour rechercher des signes d’infection et des marqueurs spécifiques qui indiquent la présence d’un kyste maxillaire. Ces tests peuvent aussi aider à déterminer si le patient est allergique à certains médicaments ou produits chimiques utilisés pendant l’intervention chirurgicale.

Comment traiter un kyste maxillaire ?

Le traitement d’un kyste maxillaire dépendra du type et de la taille du kyste, ainsi que de l’état général du patient. Les options de traitement comprennent la chirurgie, les médicaments et les traitements non invasifs.

Les options de traitement d'un kyste maxillaire

Les médicaments peuvent être utilisés pour réduire l’inflammation et soulager la douleur associée au kyste maxillaire. Dans certains cas, des traitements non invasifs tels que le drainage ou la cryothérapie peuvent par ailleurs être utilisés pour réduire la taille du kyste. Cependant, dans la plupart des cas, une intervention chirurgicale est nécessaire pour retirer complètement le kyste.

La chirurgie et le suivi post-opératoire d'un kyste maxillaire

L’exérèse de kyste maxillaire est une intervention chirurgicale qui consiste à retirer la membrane qui entoure le kyste. Le chirurgien maxillo-facial et stomatologue est le spécialiste à consulter pour une opération kyste maxillaire. 

L’intervention se déroule sous anesthésie générale et prend environ une journée. Après l’opération, il est important de suivre un plan de soins post-opératoires pour assurer une guérison rapide et sans complications. 

Si vous désirez prendre rendez-vous afin de traiter un kyste maxillaire, cliquez ici.

Une question, un renseignement ?

CONTACTEZ-NOUS

Accès au Cabinet

46 rue Fernand Lecroart
59960 Neuville en Ferrain

Autoroute A22/E17 direction Tourcoing/Gand/ Gent

Sortie 17 vers Neuville en Ferrain

Transports en commun

Metro 2. Direction C.H. Dron.
Arret C.H. Dron.

Bus CITT. Direction Centre commercial Tourcoing.

Arret Centre (Neuville en Ferrain)

Nous joindre

03 20 35 37 94